Diagnostický nástroj zánětu zubu
Označte všechny příznaky, které zaznamenáváte:
Výsledná analýza
Zde jsou klíčové body pro správné řízení zánětu zubu:
- Okamžitá péče: Pokud se objeví horečka nebo silný otok, navštivte zubního lékaře ihned.
- Domácí úlevy: Používejte studený obklad, paracetamol nebo ibuprofen podle doporučení.
- Preventivní opatření: Pravidelné čištění zubů a návštěvy zubního lékaře.
- Nepoužívejte: Vlastní předměty v ústech, které mohou zhoršit infekci.
Když se v ústech objeví zánět zubu, je důležité vědět, co od něj můžete očekávat a jak na něj reagovat. Níže najdete kompletní přehled příznaků, typů a kroků, které vám pomohou rozhodnout, kdy je čas řídit se k dentistovi.
Co je zánět zubu?
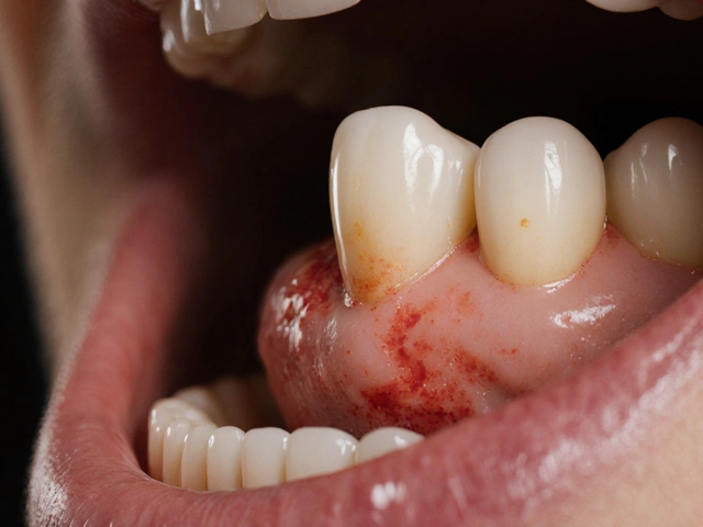
Zánět zubu je zápalová reakce postihující pulpou, kořen nebo okolní dásně, která vyvolává bolest, otok a často i tvorbu hnisu. Nejčastějšími spouštěči jsou nezvládnutý zubní kaz, poškození výplně nebo úraz. Zánět může být lokální (ovlivňuje jen jeden zub) nebo se rozšířit do čelistní kosti a způsobit vážnější komplikace.
Hlavní příznaky zánětu zubu
Rozpoznat zánět zubu pomůže několik typických příznaků:
- Bolest - pulzující nebo ostrá, zhoršuje se při jídle, pití horkých či studených nápojů.
- Otok - otok dásní nebo tváře poblíž postiženého zubu.
- Citlivost na tlak - při kousání se bolest zvyšuje. \n
- Špatný dech nebo nepříjemná chuť v ústech, často kvůli hnisu.
- Vysoká tělesná teplota, pokud se infekce rozšíří.
Tyto příznaky se mohou objevit najednou nebo postupně. Pokud některý z nich přetrvává více než dva dny, je čas kontaktovat dentistu.

Typy zánětu zubu
Ne každá bolest v zubu je stejná. Rozlišujeme tři hlavní typy:
Typ | Typické příznaky | Příčina | Obvyklá léčba |
---|---|---|---|
Pulpitida | Intenzivní bolest při teple/studeném, citlivost na tlak | Rozsypaný kaz, poškozená výplň | Endodontické ošetření (kořenová kanálka) nebo extrakce |
Periapikální absces | Otok tváře, hnisavý výtok, horečka | Neošetřená pulpita, rozšíření infekce do kosti | Antibiotika + drenáž + často extrakce |
Parodontitida | Krvácející dásně, ztráta kostní hmoty, zápach úst | Chronická zánětlivá reakce na plak a zubní kameny | Profesionální čištění, antibiotika, případně chirurgický zákrok |
Kdy vyhledat zubního lékaře?
Nejčastější otázkou je, kdy už není dostatek domácí úlevy a je nutná návštěva dentisty. Zde je jednoduchý seznam:
- Bolest trvá déle než 48hodin nebo se zhoršuje.
- Objevuje se otok, který se rozšiřuje nebo je doprovázen horečkou.
- Máte nepříjemný zápach nebo chuť, která neprchází.
- Vidíte hnědé, černé nebo bílá skvrny na zubu či dásních.
- Po úrazu - i když se zdá, že nic vážného není.
V těchto případech dentista provede kontrolu, může nasadit rentgen a stanoví nejvhodnější postup.

Domácí úlevy a co nedělat
Počínaje první bolestí můžete vyzkoušet několik osvědčených tipů, ale nevkládejte je do dlouhodobé strategie:
- Studený obklad na tvář s otokem (10minut, 2-3krát denně).
- Klínová úleva - paracetamol nebo ibuprofen v doporučených dávkách.
- Ústní voda s chlorhexidinem - pomáhá snížit bakteriální zátěž.
- Vyvarujte se tvrdému jídlu, extrémně horkým nebo studeným nápojům.
- NEVSTAVUJTE do zubu vlastní bavlněné vatě nebo jiné předměty - můžete infekci zhoršit.
Tyto kroky jsou jen dočasnou úlevou. Pokud se bolest vrací, je třeba odborníka.
Prevence a dlouhodobá péče
Nejlepší způsob, jak se vyhnout zánětu zubu, je prevence. Zde jsou klíčové návyky:
- Čistěte zuby dvakrát denně fluoridovou pastou, alespoň 2minuty.
- Používejte dentální nit nebo mezizubní kartáčky k odstranění plaků mezi zuby.
- Navštěvujte dentistu každých šest měsíců na kontrolu a profesionální čištění.
- Snižte příjem sladkostí a kyselých nápojů, které podporují kaz.
- Po úrazu úst (úder, pád) vyhledejte okamžitou odbornou prohlídku.
S těmito návyky se výrazně snižuje riziko vzniku pulpity, abscesu i periodontitidy.
Často kladené otázky
Jak rychle se rozšíří zánět zubu do čelistní kosti?
Rozšíření může nastat během několika dní až týdnů, v závislosti na imunitním systému a místě infekce. Pokud se objeví otok a horečka, je pravděpodobné, že se infekce šíří rychleji a vyžaduje okamžitý zásah.
Mohu si záznam o zánětu zubu nechat na později a vzít si volno z práce?
Ano, pokud bolest a otok sílí a máte horečku, je rozumné zůstat doma. Zánět může rychle zhoršit pracovní výkon a zvýšit riziko komplikací.
Je bezpečné užívat jen ibuprofen při zánětu zubu?
Ibuprofen snižuje bolest i zánět, ale u některých lidí může dráždit žaludek. Kombinace s paracetamolem často poskytuje lepší úlevu a menší riziko vedlejších účinků.
Kdy je nutná operace při periapikálním abscesu?
Pokud antibiotika nedokážou absces zmenšit nebo pokud se vytvoří hnisavý váček, je potřeba chirurgická drenáž a často i extrakce postiženého zubu.
Možná je po zánětu zubu ztratit kostní hmotu?
Ano, chronická infekce může vést k resorpci kosti kolem kořene. To je častý důvod, proč se po dlouhodobém zánětu doporučuje obnovující implantáty nebo kostní augmentace.
Napsat komentář